|
La chirurgie conservatrice de la dysplasie de hanche est encore largement dominée en France par les butées et l'ostéotomie de Chiari. Plusieurs autres ostéotomies de réorientation du cotyle ont été proposées notamment par Wagner, Salter, Lecoeur. L'ostéotomie périacétabulaire, proposée par Ganz dans le traitement des dysplasies de hanche chez l'adulte au début des années 1980 nous a rapidement séduit. Nous lui trouvons plusieurs avantages : elle se réalise par une seule voie d'abord, elle conserve la structure anatomique de l'anneau pelvien, elle ne touche pas à l'auvent fessier et elle donne des résultats encourageants même en cas d'arthrose modérée. |
![]() |
Technique opératoire
Elle consiste en une ostéotomie autour de la cavité acétabulaire L'intervention se déroule si l’on suit les principes développés par Ganz par une voie ilio-crurale.(Smith petersen modifié en rouge). elle peut aussi se faire en utilisant une voie superficielle totalement invisible car caché dans le slip (en vert). L'abord du cotyle se fait par voie endopelvienne et ne touche absolument pas à l'éventail fessier. Le chirurgien qui aurait à mettre en place une prothèse totale de hanche retrouvera des tissus vierges. C'est un point très important: "primum non nocere" (ne pas nuire).
![]() |
![]() |
Après avoir sectionné l'épine iliaque antéro-supérieure à la scie oscillante, on soulève lemuscle iliaque de la table interne de l'aile iliaque puis le muscle psoas pour mettre en èvidence la branche ilio pubienne.
Cet abord permet, par ailleurs, une ouverture de la capsule articulaire s'il existe un bourrelet pathologique ou un corps étranger intra articulaire.
|
|
|
||
|
Le premier trait se fait à l'aveugle eventuellement sous contrôle scopique avec des ciseaux spéciaux. Il va sectionner les 3/4 de l'ischion en passant en dedans du col fémoral après avoir libéré la membrane obturatrice. Ce trait peut se pratiquer sous contrôle de l'amplificateur de brillance. Avec l'expérience l'utilisation de l'amplificateur de brillance devient inutile. |
![]() |
![]() |
|
|
||
![]() |
Le deuxième trait se pratique en sectionnant la branche ilio-pubienne au ciseau à frapper. On protège le psoas avec 2 écarteurs à bec. Le trait doit se faire très proche de la cavité acétabulaire. | ![]() |
Technique opératoire 2
On compléte l'ostéotomie en reliant les deux premiers traits par un troisième qui passe 1 centimètre en avant de la grande échancrure sciatique. On peut débuter le trait à sa partie haute par un coup de scie oscillante ou encore en utilisant une fraise pour éviter d'éclater l'os qui est très dur à ce niveau.
![]() |
||
|
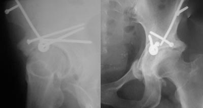
Dès lors on peut mobiliser le cotyle dans toutes les directions. On peut ainsi corriger un défaut de couverture antérieure mais aussi changer l'antéversion du cotyle et rétablir, si besoin, une meilleure balance des rotations. L’appréciation de la correction se fait à l’amplificateur de brillance: cette étape est probablement la plus complexe car il faut corriger la position du cotyle dans tous les plans de l'espace sans introduire d'hypercorrection qui pourrait être a l'origine d'autres problèmes. La stabilité primaire est obtenue par la mise en place de 3 ou 4 vis dirigées vers la colonne postérieure. La mobilisation de la hanche ne doit pas entraîner de micromouvement au niveau des traits d'ostéotomie. Il est tout à fait possible en fin d'intervention d'ouvrir l'articulation pour examiner l'intérieure du cotyle. L'intervention dure entre des mains habituées entre 75 et 90 minutes. On peut associer dans certains cas une ostéotomie du fémur pour corriger une dysplasie fémorale. Ce geste rallonge d'environ 1 heure l'intervention. |
|
|
Exemples radiographiques
| Exemple 1 | |||
![]() Patiente de 50 ans très douloureuse
|
![]() Excellent résultat à 3 ans de l'intervention
|
||
| Exemple 2 | |||
![]() Jeune sportif de 35 ans avec double dysplasie fémorale et acétabulaire.
Il existe déjà des lésions articulaires importantes.
|
![]() Excellent résulat à 5 ans. L'amélioration de l'interligne est spectaculaire...
|
||














